Actinomicosis Pulmonar post COVID
La actinomicosis es una enfermedad causada por un microorganismo gram positivo anaerobio, Actinomyces israelií, habitualmente con ausencia de actividad patogénica. Su expresión infecciosa más común se localiza en piel de cara y cuello, dado que éste es residente frecuente de nariz y garganta. Su comportamiento infeccioso es raro en otros órganos. Objetivo Demostrar Caso Actinomicosis Pulmonar Post Covid; estudio Descriptivo en el Hospital Universitario de Maracaibo. Se presenta un paciente adulto con cuadro clínico respiratorio de dos meses de evolución, dolor toraccico derecho y disnea de esfuerzos progresiva; con antecedentes: Diabetes mellitus tipo 2 e hipertensión arterial de larga data, status post covid 19 moderado; con edentula parcial y obesidad, examen físico: torax simétrico, normoexpansible, matidez percutoria a nivel de campo pulmonar superior derecho, murmullo vesicular audible con crepitantes fino en hemicampo derecho, radiografía y tac de tórax con lesión radiopaca 4 x 4 cm aproximadamente, cavitada en lóbulo superior Derecho, en quien se diagnostica actinomicosis pulmonar posterior a fibrobroncoscopia.
Palabras claves: Actinomicosis, Actinomicosis pulmonar,
infección pulmonar
Actinomycosis is a disease caused by an anaerobic gram-positive microorganism, Actinomyces israelií, usually in the absence of pathogenic activity. Its most common infectious expression is located on the skin of the face and neck, since it is a frequent resident of the nose and throat. Its infectious behavior is rare in other organs. Objective To Demonstrate Pulmonary Actinomycosis Case Post Covid; Descriptive study at the Maracaibo University Hospital. An adult patient is presented with a two-month history of respiratory symptoms, right thoracic pain and progressive dyspnea on exertion; with a history: type 2 diabetes mellitus and long-standing hypertension, moderate post-covid 19 status; with partial edentula and obesity, physical examination: symmetric, normoexpansible chest, percutaneous dullness at the level of the upper right pulmonary field, audible vesicular murmur with fine crackles in the right hemifield, radiography and chest CT with radiopaque lesion approximately 4 x 4 cm, cavitated in Right upper lobe, in whom pulmonary actinomycosis is diagnosed after fiberoptic bronchoscopy.
Key words: Actinomycosis, Pulmonary actinomycosis,
pulmonary infection
La actinomicosis es una enfermedad infecciosa crónica granulomatosa, causada por un microorganismo gram positivo del género Actinomyces. Se trata de una bacteria anaerobia, no esporulada, de lento crecimiento, que forma ramas filamentosas, por lo que en un principio se clasifico como hongo. Forma parte de la biota habitual de la cavidad oral, de la región cérvico-vaginal y el colon.
Puede provocar compromiso cervicofacial (55%), abdominopélvico (20%), torácico (15%) y de múltiples órganos (10%), incluyendo piel, cerebro, pericardio y extremidades. La afectación pulmonar aparece como un cuadro de condensación crónica que no mejora con el tratamiento antibiótico convencional. Las complicaciones clásicas de afectación de la pared torácica con fistulización y supuración en «gránulo de azufre» son descritas con menor frecuencia en la actualidad.
La actinomicosis pulmonar afecta a todas las edades. Se ha descrito una distribución bimodal con una edad pico entre 11 y 20 años, con un nuevo pico de incidencia claro en la 4° y 5° décadas. La incidencia de infección es de 2 a 4 veces mayor en los varones en comparación con las mujeres.
La infección por Actinomyces spp. es conocida como imitadora de malignidad tanto clínica como en estudios de imágenes; Sus formas de presentación son variadas, pudiendo aparecer como un infiltrado pulmonar, una lesión cavitada o una masa tumoral que simula un carcinoma broncogénico. Además suele localizarse en zonas de parénquima pulmonar previamente lesionado, donde las condiciones de anaerobiosis permiten el crecimiento de esta bacteria . Por ello, deben considerarse en el diagnóstico diferencial de la TBC, el absceso pulmonar, el carcinoma y la neumonía atípica. La punción aspiración con aguja fina (PAAF) permite en estos casos establecer un diagnóstico más certero y sobre todo descartar una lesión maligna, evitando así intervenciones de carácter invasivo al paciente
Demostrar Caso Actinomicosis Pulmonar Post Covid y revisar la literatura
Estudio Descriptivo de caso Actinomicosis Pulmonar Post Covid, en el Hospital Universitario de Maracaibo
Paciente femenina de 66 años, quien consulta por presentar hace 2 meses tos seca continua, de predominio nocturno, que no cede con tratamiento, así mismo dolor toraccico derecho, de moderada intensidad, que cede con aines y disnea de esfuerzos progresiva; con antecedentes: Diabetes mellitus tipo 2 e hipertensión arterial de larga data, status post covid 19 moderado ( 3 meses previo a enfermedad actual); edentula parcial y obesidad
A la exploración física, se evidenció torax simétrico, normoexpansible, matidez percutoria a nivel de campo pulmonar superior derecho, murmullo vesicular audible con crepitantes fino en hemicampo derecho.
se realiza estudios de imágenes radiografía de tórax donde se evidencia lesión radiopaca 4 x 4 cm aproximadamente, cavitada en lóbulo superior Derecho ( figura 1)



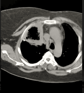
Tac tórax se evidencia neumopatía crónica con lesión ocupante de espacio en lóbulo superior Derecho, de paredes gruesas mayor 1,5 x 1cm aproximadamente hiperdensa, cavitada ( imagen de doble componente) como se muestra en la figura 2.
Figura 2. Tac de tórax corte axial. A) ventana pulmonar se evidencia lesión hiperdensa de paredes gruesas, cavitada B) ventana mediastinica


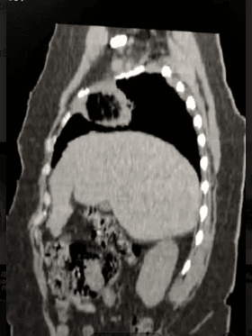
Figura 3 Tac de torax corte sagital y coronal Lesión en lóbulo Superior Derecho, cavitada de paredes gruesas.
Se realiza fibrobroncoscopia flexible Se evidencia mucosa endobronquial sin lesiones, ni cambios de coloración (figura 4), en el cultivo del lavado bronquial reporta Klebsiella pneumoniae y Streptococcus ( figura 5) y en el bloque celular actinomicosis así como lo muestra la figura 6.



Se evidencia Rx torax post fibrobroncoscopia lesión en lóbulo superior derecho, cavitada, paredes gruesas sin relación con pared toraccica.( figura 7).

La actinomicosis es una entidad poco frecuente, debido al uso de antibióticos. Su presentación clínica es muy variada, Los síntomas más comunes son tos (83%), expectoración (74%), dolor torácico (68%), disnea (47%), hemoptisis (31%), pérdida de peso (53%), sudoración nocturna (32%), fiebre (21%) y malestar general (42%). Esta sintomatología generalmente es confundida como neoplasia o tuberculosis, se debe considerar la posibilidad de existencia de actinomicosis, en pacientes predispuestos como inmunodeprimidos (VIH positivo, alcohólicos, diabéticos, transplantados, edad avanzada), fumadores, bajo nivel socioeconómico con mal estado bucodental, enfermedades asociadas como lesiones por tuberculosis pulmonar antigua, bronquiectasias y bronquitis crónica y en casos excepcionales, como la presencia de un cuerpo extraño, neoplasias o tuberculosis concomitantes; La presentación con fístulas y empiemas a “nesecitatis” son formas infrecuentes de presentación en la actualidad.
El método diagnóstico de la actinomicosis es a través de estudios anatomopatologicos o histológicos debido a que los hallazgos radiográficos y tomograficos son similares a los de otras enfermedades más frecuentes como tuberculosis y neoplasias.
Entre los esquemas de tratamiento más utilizados se encuentra el uso de penicilina cristalina 3-4 millones de unidades IV cada 4 horas o amoxacilina 500 mg VO cada 6 horas. Esquemas alternativos con éxito terapéutico, también se describen con eritromicina 500 mg IV cada 6 horas o 500 mg VO cada 6 horas y clindamicina 900 mg IV cada 8 horas o 300 mg VO cada 6 horas. Se reporta uso de tetraciclina, doxiciclina y minociclina como terapias alternativas
• Ramírez, F; Barrera,E; Méndez, Y. Actinomicosis pulmonar Una enfermedad olvidada Acta Médica Colombiana Vol. 35 N° 3 Julio-Septiembre ~ 2010
• Gómez M; Urbano A, Méndez,M; Fernández A; Actinomicosis pulmonar. Diagnóstico por punción-aspiración con aguja fina Invest Clin 52(4): 358 – 364, 2011
• Márquez F, Borque A, Vidal An, Esp Pediatr 1996;44:588-590.
Autores
Karline P. González Hidalgo
Cirujano General
Servicio de Cirugía de Tórax
Facultad de Medicina Universidad del Zulia
Juan F. Lauretta
Servicio de Cirugía de Tórax
Hospital Universitario de Maracaibo – Venezuela
Julio A. Solarte
Servicio de Cirugía de Tórax
Hospital Universitario de Maracaibo – Venezuela
Hensy N. Sardi
Servicio de Cirugía de Tórax
Hospital Universitario de Maracaibo – Venezuela
